Zuhause:
Frau D. (57a) erwacht Anfang Dezember 2016 nicht wie gewohnt. Beim Gang auf die Morgentoilette fällt ihr eine leichte Unsicherheit beim Gehen auf. Beim Blick in den Spiegel bemerkt sie weiter, dass der linke Mundwinkel tiefer steht. Ein sofortiger Ruf ihres Gatten kann nur mühevoll erfolgen – Wörter lassen sich einfach nicht mehr richtig aussprechen. Geschockt alarmiert der Gatte sofort die Rettung. Bei Verdacht auf „Wake – up Stroke“ wird die Patientin sofort in die neurologische Notfallaufnahme transferiert.
In der Notfallaufnahme – Eintreffen um 9:00 Uhr:
Im neurologischen Status zeigt sich eine ausgeprägte Dysarthrie bei zentraler Fazialisparese links, ein Absinken der linken OE und UE im Vorhalteversuch sowie ein positiver Babinski-Reflex links. (entspricht einem NIHSS 4)
Auf Nachfragen berichtet die Patientin an einer Vorhhofflimmerarhythmie zu leiden. Eine blutverdünnende orale Antikoagulation nehme sie nicht ein. Lediglich wurde, wegen Kopfschmerzes, in den letzten Tagen 100mg Aspirin tgl. eingenommen.
Der Verdacht auf Vorliegen eines Wake-up-Strokes verhärtet sich.
Ein übliches Vorgehen mittels der Faustregel: systemische Lyse-Therapie bis max 4,5h nach Auftreten der Erstsymptome (nach Blutungsauschluß mittels CCT) ist bei V.a. Wake-up-stroke nicht zulässig, da erste Symptome bereits im Schlaf aufgetreten sein könnten.
Untersuchung der Wahl: Schädel-MRT mittels Diffusions und Perfusionsbildgebung!
Hierin lässt sich elegant darstellen, welche Bereiche schon zugrunde gegangen sind, also „Diffusions-positiv“, und welche nur minderdurchblutet „verminderte Perfusion“- und damit noch rettbar sind. Der noch rettbare Bezirk wird als sog. „Diffusions-Perfusions-Missmatch“ oder auch „Penumbra“ bezeichnet, und muss über ein bestimmtes Volumen verfügen, damit eine weitere rekanalisierende Therapie erfolgreich sein könnte.
Bereits wenige Minuten nach Eintreffen kann die MRT-Untersuchung durchgeführt werden, Uhrzeit 9:09 Uhr:
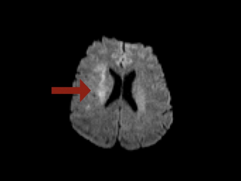
Diffusion:

Im Versorgungsgebiet der rechten A.cerebri media stellt sich ein beginnend diffusionspositives Areal dar (Pfeil).
Perfusion:

In der Perfusionssequenz stellt sich bereits eine ausgeprägte Minderperfusion dar. Das Perfusions-Diffusions-Missmatch hat ein großes Volumen = viel potentiell rettbares Hirnparenchym durch rekanalisierende Therapien!
MRA:

Der Grund für die Minderdurchblutung kommt in der angeschlossenen MR-Angiografie zur Darstellung: ein rezenter thrombotischer Verschluss im Mediahauptstamm rechts (Pfeil).
Aufgrund des kompletten Verschlusses des Gefäßes wird die Indikation zur raschest möglichen Thrombektomie an der interventionellen Radiologie gestellt. Nach telefonischer Informierung der interventionellen Radiologie und Transport der Patientin, erfolgt der Eingriff um 10:08 Uhr.
DSA (digitale Subtraktionsangiografie):

Aufsuchen des Gefäßverschlusses und Durchstoßen des verstopfenden Thrombus mittels Draht (Pfeil). Anschließend wird der Thrombus mittels eines eigenen maschenartigen „Retrievers“ aus dem Gefäß gezogen.
DSA – Rekanalisierung:

Erfolgreiche Rekanalisierung (Pfeil) und somit Reperfusion um 10:59 Uhr.
Ad Station:
Die Patientin wird folglich an der Stroke-Unit aufgenommen. Klinisch kommt es zu einer raschen Verbesserung der neurologischen Defizite. Nach einem 11-tägigen Anschlussrehabilitationsverfahren wird die Patientin letztlich ohne jegliche neurologische Defizite wieder nach Hause entlassen. Bei Fehlen anderer Pathologien (Gefäßstenosen etc.) wurde die unbehandelte Vorhofflimmerarhythmie als wahrscheinlichste auslösende Ursache determiniert und eine orale Antikoagulation mittels Apixaban 5mg 2 x tgl. eingeleitet.
Zusammenfassung :
Etwa 25% aller Schlaganfälle ereignen sich im Schlaf. Eine Empfehlung zur exakten Vorgehensweise bezüglich Diagnostik und auch Therapie gibt es derzeit noch nicht, da die notwendige Datenlage (größere representative Studien) fehlt. Sowohl bei der Bildgebung, als auch bezüglich des weiteren therapeutischen Prozederes gibt es verschiedene Vorgehensmöglichkeiten. Die obig beschriebene ist eine dieser Möglichkeiten, welche ein ausgezeichnetes Outcome zeigte.
Wichtig ist:
-Auch bei Schlaganfällen, welche sich während des Schlafes ereignen, (somit unbekannter Zeitpunkt des Ereignisses) kann eine exakte Diagnostik und eine erfolgreiche Therapie erfolgen!
-Bei rechtzeitigem Handeln ist ein sehr gutes Outcome möglich! Bei V.a. auf Wake-up-Stroke, ist somit ein schnellstmöglicher Transfer an ein Schlaganfallzentrum mit Möglichkeit zur Durchführung eines MRTs und weiters auch Möglichkeit eines interventionellen Eingriffes von entscheidender Bedeutung!
Dieser Case report stellt ein Idealsetting nach Auftreten eines Wake-up-Strokes dar. Die Patientin und ihr Gatte reagierten sofort mittels Rettungsruf. Eine Schädel-MRT-Untersuchung mittels Perfusions- und Diffusionssequenzen wurde umgehend durchgeführt. Die wichtige therapeutische Thrombektomie folgte nur Minuten nach Erhalt der MRT-Bilder.
Leider sieht der Normalfall nicht immer so rosig aus. Oft berichten Patienten beim Bemerken eines neurologischen Defizites, sich wieder schlafen gelegt zu haben. Auch berichteten Partner bereits, aufgrund des plötzlich lauten Schnarchens und „Nichtweckbarkeit“ des Partners auf mehrere Male intensives Stoßen, das Zimmer einfach gewechselt zu haben. Am folgenden Morgen konnte keine therapeutische Maßnahme mehr angeboten werden.
Diesbezüglich ist v.a. eine ausreichende „Awareness“ von Nöten. Der Schlaganfall stellt nach wie vor eine der häufigsten Todesursachen dar: Er kommt plötzlich, meist ohne Schmerzen, endet oft tödlich und hält sich an keine Tages- oder Nachtzeiten!
Autor:
Dr. Christian Vetta ist Assistenzarzt für Neurologie und an der klinischen Abteilung für allgemeine Neurologie am LKH Universitätsklinikum Graz tätig. Im Rahmen seiner Ausbildung arbeitete er unter anderem in der neurologischen Notaufnahme, sowie auch auf der Stroke Unit.
