Wie vielleicht bereits bekannt ist, kann die Sonographie auch zur Detektion eines Pneumothorax verwendet werden. Sie beruht großteils auf
der Interpretation von Artefakten.
In vielen Studien hat sich herausgestellt, dass der Lungenultraschall in der Detektion eines Pneumothorax sensitiver als das anterior-posterior Thoraxröntgen beim liegenden Patienten ist.
Hier ein kurzer Überblick:
Schallkopf:
- sowohl ein linearer Hochfrequenz Schallkopf als auch ein Schallkopf mit niedrigerer Frequenz (wie beim FAST-Scan – erspart somit den Tausch des Schallkopfes)
Schallkopfposition:
- am liegenden Patienten longitudinal zwischen dem 3. oder 4. ICR der Medioklavikularlinie und zwischen 3. bis 5. ICR der anterioren Axillarlinie
Zeichen eines Pneumothorax:
1. Fehlendes Lungengleiten
Beim Lungengleiten handelt es sich um eine atemsynchrone Bewegung der Lunge gegen die Thoraxwand. Lungengleiten kann auf drei verschiedenen Arten nachgewiesen werden:
- Im B-Mode: hier wird die Tiefe möglichst gering gestellt um eine gute Auflösung zu erhalten. Danach wird der Interkostalraum eingestellt und die Pleuralinie und somit das Lungengleiten visualisiert.
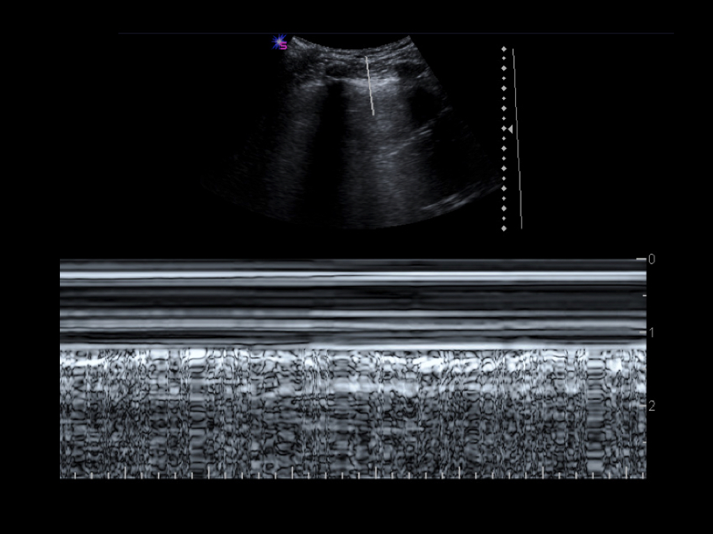
- Im M-Mode: ein Strahl wird durch das subkutane Gewebe, die Interkostalmuskulatur, Pleura und Lunge gelegt. Bei normalen Verhältnissen entsteht unterhalb der Pleuralinie ein granuliertes Muster, während im Bereich der Cutis, Subcutis und Interkostalmuskulatur ein lineares Muster entsteht („Seashore-Sign“). Bei Vorliegen eines Pneumothorax ist aufgrund der fehlenden Bewegung im Bereich der Pleuralinie ein durchgehend lineares Muster zu beobachten („Barcode-Sign“).
- mit Hilfe des Power Doppler
2. Fehlende B-Linien
B-Linien sind Artefakte die aufgrund Flüssigkeitseinlagerungen (z.B. bei alveolarinterstitiellen Syndromen). Das Vorliegen von B-Linien schließt einen Pneumothorax an der untersuchten Stelle aus.
3. Fehlender Lungenpuls
Der Lungenpuls bezieht sich auf die subtile rhythmische Bewegung der Pleura visceralis gegen die Pleura parietalis aufgrund der kardialen Kontraktion und schließt einen Pneumothorax an der untersuchten Stelle ebenso aus.
4. Lungenpunkt
Der Lungenpunkt stellt die Grenze zwischen der Thoraxwand anliegender Lunge und Beginn des Pneumothorax dar. Mit Anwesenheit dieses Zeichens ist ein Pneumothorax mit nahezu hundertprozentiger Sicherheit bewiesen.
Literatur:
- Blaivas M, Lyon M, Duggal S. A prospective comparison of supine chest radiography and bedside ultrasound for the diagnosis of traumatic pneumothorax. Acad Emerg Med. 2005; 12(9): 844-9.
- Lichtenstein DA. Ultrasound in the management of thoracic disease. Critical Care Medicine Focused Applications of Ultrasound in Critical Care Medicine. 2007; 35(5): S250-S61.
- Lichtenstein D, Meziere G, Biderman P, Gepner A. The comet-tail artifact: an ultrasound sign ruling out pneumothorax. Intensive Care Med. 1999; 25(4): 383-8. 116. Lichtenstein DA, Menu Y. A bedside ultrasound sign ruling out pneumothorax in the critically ill. Lung sliding. Chest. 1995; 108(5): 1345-8.
- Volpicelli G, Elbarbary M, Blaivas M, Lichtenstein D, Mathis G, Kirkpatrick A, et al. International Evidenced-based Recommendations for Point-of-Care Lung Ultrasound. Intensive Care Med. 2012: in press.
- Cunningham J, Kirkpatrick AW, Nicolaou S, Liu D, Hamilton DR, Lawless B, et al. Enhanced Recognition of „Lung Sliding“ with Power Color Doppler Imaging in the Diagnosis of Pneumothorax. J Trauma. 2002; 52(4): 769-71 VNOvid Technologies DBJournals@Ovid.
- Lichtenstein DA, Meziere G, Lascols N, Biderman P, Courret JP, Gepner A, et al. Ultrasound diagnosis of occult pneumothorax. Crit Care Med. 2005; 33(6): 1231-8.
- Lichtenstein D, Meziere G, Biderman P, Gepner A. The „lung point“: an ultrasound sign specific to pneumothorax. Intensive Care Med. 2000; 26(10): 1434-40.



Pingback: How to FOAM? | FOAMina
Pingback: NERDfacts Folge 3/2020 Hocus POCUS – Point of care Ultraschall – Nerdfallmedizin.de